インプラント治療の術式
- 広島市 インプラント 医療法人あおき歯科クリニック HOME
- >> インプラント治療の術式
インプラント治療の術式(グラフトレス術式)
当クリニックでは、可能な限り患者様の身体への負担を少なくするため、また安全で確実なインプラント手術のために、骨量が不足している患者様でも骨移植・骨造成の必要がない術式(グラフトレス)術式を心がけております。
重度の歯周病を患っていたり、長い間歯の欠損を放置したりしていた方の場合、顎の骨が痩せ、インプラントを埋入するだけの十分な骨の幅や高さが足りないといったケースが多くあります。
その場合、インプラント手術を行う前にまず骨移植や骨造成などで顎の骨を増やす外科手術を行う必要がありました。
しかし、近年のインプラント材料の品質や手術を行う歯科医師の技術の向上、さらにCTやコンピューターシュミレーションによる綿密な診断や精巧な手術が可能になったことから、限界はあるものの、骨移植・骨造成の必要がない(グラフトレス)、低侵襲なインプラント治療を行うことができるようになりました。
これにより、今までインプラント治療が難しいとされていた方でも、治療を受けられる可能性が出てきました。

骨移植・骨構造の必要がない(グラフトレス)治療とは
グラフトレスな治療には以下のような術式があります。
傾斜埋入
上顎臼歯部(上顎の奥歯)には上顎洞という空洞が存在するために、ほとんどの症例において骨量は少なくなっています。傾斜埋入とは、まっすぐに埋入できる骨の量が不足している場所に斜めに傾けて埋入することによって対応していく方法です。
もともとある骨の中に埋入するため初期固定もよく、長いインプラントが使用でき力学的に有利になるケースもあります。
そして、従来法に比べ治療内容が単純になり痛みや腫れが少なく済みます。
適切な位置に傾斜させて埋入するには、CT画像によって骨のある部分を十分に把握した上で行う必要があります。
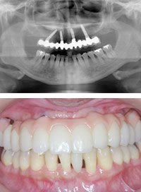
傾斜埋入でのオール・オン4
オール・オン4とは、4本のインプラントを片側もしくは上下両顎に埋め込むだけで口の中の歯全体を固定式の義歯にすることができるというインプラント治療法です。
傾斜埋入でのオール・オン4は上顎洞という解剖学的な空洞を避け、臼歯部に傾斜角をつけてインプラントを埋入し、固定式の上部構造を装着する傾斜埋入を応用した治療法です。
これによって、ブリッジに対する補綴支持を容易に得ることができ、個別に作製されたブリッジは術後数時間以内には機能するようになります。
取り外し式の「総入れ歯」に対して天然の歯のような快適な食生活や審美性の維持が可能になります。
最小4本のインプラントで全ての人工の歯を支えることを可能にし、症例によっては6本くらいのインプラントが必要な場合もあります。

ソケットリフトを併用した傾斜埋入
上顎の奥では骨吸収が起っていることが多く、インプラントを取り付けるための高さが存在しないことが多いです。
インプラントの傾斜埋入とは、骨の吸収が起っている部位を避けて骨の高さがある上顎結節(親知らず)の部分にインプラントを斜めに埋込む方法で、さらに骨が少ないためソケットリフト呼ばれるテクニックを併用しています。

ショートインプライント
ショートインプラントとは、通常のインプラントよりも長さの短いインプラントで、骨内埋入8mm以下のインプラントのことをショートインプラントと呼びます。
従来では長いインプラントを埋入することがインプラントの安定に重要だと言われていました。
しかし最近では、過去のデータの蓄積や様々な研究から、また素材や歯科技術の進歩に伴い、骨内埋入5~7mm程度の骨の高さがあれば十分安定することが知られています。
もちろん患者様の口腔状態や埋入部位、骨の硬さ、噛み合わせ等一定の条件がクリアされる必要があります。
いずれにせよ骨の移植や骨造成を回避できるため、身体的負担だけでなく経済的負担にも軽減できます。この術式も術前の診査がとても重要です。

ショートインプラントの大きさを比較した写真です。
全長7mmと、ものすごく小さいです。
T’Sボーンスプレッディング
T’Sボーンスプレッディングシステムは、ドリルを使わずにインプラント埋入を行う方法です。
細い直径のスプレッターから使用し、少しずつ骨を押し広げ、インプラントを埋入する骨孔を形成します。
低回転の(専用ドライバー)での処置ですので、抜歯即時埋入や骨の幅が無い場合、また硬固質な骨の場合でも、骨の破折を防止します。
また、骨が削りとられることもなく、骨が足りないからと骨移植や骨造成行う必要もありませんので、身体的な負担を軽減することができます。
スプレッターのサイズが豊富なので、顎の骨幅がかなり薄いケースにも対応できます。

メスを使わない(フラップレス)埋入
フラップレス埋入とは、「メスで切らないインプラント」です。
通常のインプラント治療と違い、歯肉の切開、剥離をせずパンチのようなもので歯肉に小さな穴を開け、そこからインプラントを埋入します。
切開、剥離、縫合のステップがなく、手術時間も短縮でき、出血もほとんどなく手術を終えることができます。
また、術後の腫や痛みまでも軽減できます。
インプラントシュミレーションシステム
SimPlant(シンプラント)とは、インプラント治療前の診査、診断の為の、シュミレーションシステムです。
CTにて撮影した画像を処理し、顎の骨の状態を立体的に把握することができるので、正確な診断が可能になります。
SimPlant(シンプラント)によるシュミレーションの結果を元に作成したインプラントを埋め込む位置を決定し(サージガイド)を安全で確実な手術を行うことができます。
右の写真は、シュミレーションに基づき、作成したサージガイドでインプラントを埋入している様子です。




